Asociacion Salvadoreña de Radiología Ultrasonografía e Imágenes Diagnosticas

Menu

Skip to content
  • Inicio
  • Quienes Somos
  • Miembros
    • Junta Directiva de la ASRUID 2017 – 2018
    • Beneficios de ser miembro de la ASRUID
    • Estatutos de la ASRUID
    • Requisitos para pertenecer a la ASRUID
  • Información
    • Para Médicos
    • Para Pacientes
  • Últimas Noticias
  • Proximas actividades
  • Casos Clinicos
    • Casos Clinicos Interesantes
    • Envio de casos interesantes
  • Galería
    • Conoce a El Salvador
    • Fotos
    • Videos
  • Enlaces
  • Contactenos

Próximas Actividades

  • Programa científico – Jornada técnica para licenciados y técnicos en radiología
  • Programa científico – VIII Congreso Nacional y III Congreso Internacional de Radiología
  • VIII Congreso Nacional y III Congreso Internacional de Radiología

Casos Clínicos

  • CARACTERÍSTICAS RADIOLÓGICAS Y CORRELACIÓN CLÍNICA DE LOS TUMORES HIPOFISIARIOS POR RM, HOSPITAL NACIONAL ROSALES, 2013.

    CARACTERÍSTICAS RADIOLÓGICAS Y CORRELACIÓN CLÍNICA DE LOS TUMORES HIPOFISIARIOS POR RM, HOSPITAL NACIONAL ROSALES, 2013.

    Incorporación Dra. Miladys Henriquez Médico Radiólogo en el Hospital Nacional […]
  • PARALISIS DEL VI PAR CRANEAL.

    PARALISIS DEL VI PAR CRANEAL.

    Presentamos el caso clínico con el que  Dra. Beatriz Guevara […]
  • Síndrome de la arteria mesentérica superior

    Síndrome de la arteria mesentérica superior

    El síndrome de la arteria mesentérica superior (SAMS) está caracterizado […]
  • Hemangioendotelioma kaposiforme

    Hemangioendotelioma kaposiforme

    Es un tumor vascular poco frecuente, que comprende un grupo […]

Para Médicos

WORLD TB DAY “Imaging of Tuberculosis” ISR, ICRE, GO EP

WORLD TB DAY “Imaging of Tuberculosis” ISR, ICRE, GO EP

La Sociedad Internacional de Radiología (ISR), Comisión Internacional en Educación […]

Lea Más

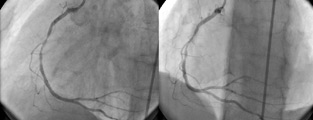
Comparación entre angiotc coronario y angiografía convencional en patologia ateroesclerótica coronaria

Comparación entre angiotc coronario y angiografía convencional en patologia ateroesclerótica coronaria

Demostrar la viabilidad para el estudio de patología cardíaca coronaria […]

Lea Más

Sensibilidad y especificidad de los signos ultrasonográficos de apendicitis aguda

Sensibilidad y especificidad de los signos ultrasonográficos de apendicitis aguda

Sensibilidad y Especificidad de los signos ultrasonográficos de Apendicitis Aguda […]

Lea Más

Cuantificación de la función pulmonar por TCMD

Cuantificación de la función pulmonar por TCMD

Enfermedad pulmonar obstructiva crónica (EPOC) se caracteriza por la presencia […]

Lea Más

Post navigation

Newer posts →

Conoce a El Salvador

Videos

Patrocinado por:

Todos los derechos reservados - Web desarrollada por Médicos de El Salvador